Röntgenbild Hüft-TEP
Endoprothetik Lachs Rgb

Endoprothetik-Zentrum für Hüfte und Knie

Die Arthrose an Hüftgelenk und Kniegelenk zählt zu den häufigsten Gelenkerkrankungen. Sind alle konservative Behandlungsmöglichkeiten ausgeschöpft, stellt der endoprothetische Gelenkersatz eine Wiederherstellung der schmerzfreien Mobilität mit hoher Patientenzufriedenheit dar. In unserem Endoprothetik-Zentrum der Maximalversorgung werden dabei OP-Technik und das Implantat immer auf die individuellen Voraussetzungen wie Alter, Knochenbeschaffenheit und Aktivitätslevel angepasst.

Liebe Patientinnen und Patienten, sehr geehrte Angehörige,

als zertifiziertes EndoProthetikZentrum der Maximalversorgung weist unsere Klinik für Orthopädie und Unfallchirurgie eine große Expertise bei Gelenkersatz-Operationen an Hüft- und Kniegelenken auf. In Reinbek werden jährlich zahlreiche Erst-Implantationen des künstlichen Gelenkersatzes sowie aufwendige Prothesenwechseloperationen durchgeführt. Durch die hohe Zahl der durchgeführten Operationen verfügen unsere Operateure über ein Höchstmaß an Routine und Expertise.

Im Krankenhaus Reinbek verwenden wir ausschließlich Prothesen, die dem aktuellen Stand der Wissenschaft entsprechen und mit denen wir über viele Jahre positive Erfahrungen gemacht haben. Wenn immer möglich nutzen wir minimal-invasive Operationstechniken, die die Nachbehandlung erleichtern und die Rehabilitation beschleunigen. Jede Operation wird individuell geplant und elektronisch dokumentiert.

Bei uns erhalten Sie eine umfassende Versorgung auf höchstem medizinischen Niveau aus einer Hand, die speziell an Ihre individuellen Bedürfnisse angepasst ist. Wir arbeiten in einem hoch qualifizierten, leistungsstarken Team bestehend aus Ärzt:innen, Pflegefachkräften, Physiotherapeut:innen und Sozialarbeiter:innen zusammen. Neueste wissenschaftliche Erkenntnisse werden bei der Behandlung umgesetzt. Die kontinuierliche Qualitätssicherung und -verbesserung ist uns dabei ein wichtiges Anliegen.

In unseren regelmäßig stattfindenden Indikations-Sprechstunden beantworten wir Ihnen alle Fragen rund um das Thema Endoprothetik. Hierbei werden Sie über konservative und operative Therapieverfahren ausführlich aufgeklärt. Wir geben Informationen über Materialien, Behandlungsabläufe und die eventuell bevorstehende Operation.

Vereinbaren Sie einen Termin in der Indikationssprechstunde Hüfte oder Knie mit unserem Service-Center unter Telefon 040 / 72 80 - 38 03

Ihr Prof. Andreas Niemeier
Chefarzt der Klinik für Orthopädie und Unfallchirurgie

Das Team der Endoprothetik

  • Chefarzt
    Prof. Dr. med. Andreas Niemeier
    Facharzt für Orthopädie und Unfallchirurgie
    Zusatzbezeichnung:
    Spezielle orthopädische Chirurgie, Orthopädische Rheumatologie
    Klinischer Schwerpunkt:
    Endoprothetik und Revisionsendoprothetik der großen Gelenke (Hüfte, Knie, Schulter, Ellenbogen), Schulterchirurgie, Tumor-Orthopädie, Orthopädische Rheumatologie
  • Oberarzt
    Dr. med. Alexander Novo de Oliveira
    Facharzt für Orthopädie und Unfallchirurgie
    Zusatzbezeichnung:
    Zertifizierter Fußchirurg (Gesellschaft für Fuß- und Sprunggelenkschirurgie, GFFC)
    Klinischer Schwerpunkt:
    Fußchirurgie, orthopädische Rheumatologie, Hüft- und Knie-Endoprothetik
Übersicht Team

Leistungsspektrum des Endoprothetik-Zentrums am Krankenhaus Reinbek

  • Knie-Endoprothese (Unikonyläre Schlittenprothese, vollständige Oberflächenersatz-Prothese)
  • Navigationsgestützte Knieendoprothetik (computerassistierte Chirurgie)
  • Primäre Hüft-Endoprothese (zementfrei und zementiert)
  • Komplexe Prothesenwechseloperation an Knie und Hüftgelenk
  • Schulter-Endoprothese (anatomische und inverse Schulterendoprothese)
  • Ellenbogen-Endoprothese
  • OSG-Endoprothese (Oberes Sprunggelenk)

 

Zeitlicher Ablauf einer Gelenk-Operation

Vor der Operation

Nach dem Entschluss für eine Operation erfolgt zur Prüfung der Narkosefähigkeit die Vorstellung bei unseren Anästhesisten. Die Sicherheit des Patienten steht für uns an oberster Stelle. Es kommt ein standardisierter Behandlungsplan zur Anwendung, der die individuellen Erkrankungen des Patienten berücksichtigt. Hierbei arbeiten die verschiedenen Fachabteilungen des Hauses wie Anästhesie, Intensivmedizin, Kardiologie, Gefäßchirurgie, Gastroenterologie und Allgemeinchirurgie interdisziplinär eng zusammen.
Zur Prophylaxe einer Infektion erhalten Sie fünf Tage vor Operation ein spezielles Wasch-Set, das die bakterielle Hautflora zum Operationszeitpunkt optimiert. Die stationäre Aufnahme erfolgt einen Tag vor der Operation.

Die Operation

Eine Endoprothesen-Operation dauert in der Regel 60 Minuten. Sie kann entweder in Vollnarkose oder auch in Spinalanästhesie stattfinden. Die Schmerzen nach der Operation sind durch die kombinierte Anwendung von Regionalanästhesie sowie verträglichen Medikamenten sehr gut beherrschbar. Die krankengymnastische Behandlung beginnt direkt am Tag der Operation. In der Regel ist eine Vollbelastung des operierten Beins sofort möglich.

Entlassung und Reha

Nach Erreichen einer sicheren Mobilität sowie reizlosen und trockenen Wundverhältnissen kann die Entlassung zwischen dem 5. und 7. Tag erfolgen. Bereits vor dem OP-Termin kümmern wir uns um eine Rehabilitationsmaßnahme. Diese kann individuell geplant werden und entweder als stationäre oder ambulante Anschlussheilbehandlung erfolgen. Die Organisation übernimmt unser Sozialdienst für Sie.

Arthrose im Hüftgelenk

Das Hüftgelenk ist das bei Menschen am häufigsten von Arthrose betroffene Gelenk. Etwa fünf Prozent der über 60-Jährigen leiden an einer Hüftgelenksarthrose (Koxarthrose). Im fortgeschrittenen Stadium führt die Koxarthrose zu einer erheblichen Einschränkung der Lebensqualität bis hin zum völligen Verlust der Mobilität. Die typischen Schmerzen treten hierbei vor allem in der Leiste auf und strahlen in den Oberschenkel aus. Im fortgeschrittenen Stadium kommen Ruhe- und Nachtschmerzen hinzu.

Ursachen der Arthrose im Hüftgelenk

Die Ursachen der Arthrose sind multifaktoriell. Es gibt eine anlagebedingte Prädisposition für einen frühzeitigen Gelenkverschleiß aufgrund einer Minderwertigkeit des Gelenkknorpels (Primäre Koxarthrose). Zudem sind eine Reihe an Risikofaktoren bekannt, die zu einem frühzeitigen Gelenkverschleiß führen können (Sekundäre Koxarthrose). Hierzu zählen unter anderen eine angeborene Reifestörung der Hüftpfanne (Hüftdysplasie), entzündlich- rheumatische Erkrankungen (Rheumatoide Arthritis) sowie eine Durchblutungsstörung des Hüftkopfs (Hüftkopfnekrose).

Die richtige Hüftendoprothese - individuell für jeden Patienten

Der endoprothetische Ersatz des Hüftgelenks gilt als eines der erfolgreichsten Operationsverfahren überhaupt. Hierbei wird sowohl die Hüftpfanne als auch der Hüftkopf ersetzt. Fortschritte im Design von Hüftgelenksendoprothesen sowie neuere OP-Techniken mit minimal invasiven Zugängen ermöglichen eine individuelle auf die Bedürfnisse des Patienten zugeschnittene Behandlung. Die Wahl der Endoprothese richtet sich hierbei nach dem Alter, der Knochenbeschaffenheit sowie dem körperlichen Aktivitätslevel.
Bei normalen knöchernen Verhältnissen ist eine zementfrei verankerte Hüftendoprothese der Standard. Die knöchern verankerten Komponenten (Schaft und Pfanne) bestehen hierbei aus gut verträglichen Titan. Die direkte Verbindung von Schaft und Pfanne erfolgt über eine Hüftkopf aus Keramik und ein Polyethyleninlay (Gleitpaarung).
Bei deutlich reduzierter Knochenqualität erfolgt eine Verankerung des Prothesenschaftes über einen speziellen Knochenzement. Hier besteht der Schaft aus einer Kobalt-Chrom-Legierung. Eine Zementierung der Pfanne ist nur in Ausnahmefällen notwendig.
Alle verwendeten Materialien zeichnen sich durch eine sehr gute Gewebeverträglichkeit und geringen Abrieb aus.

Arthrose im Kniegelenk

Das Kniegelenk ist das am zweithäufigsten von Arthrose betroffene Gelenk (Gonarthrose). Ähnlich wie am Hüftgelenk führt der fortgeschrittene Verschleiß zu einer erheblichen Einschränkung der Lebensqualität. Die Schmerzen treten hierbei vor allem beim Laufen auf und führen zu einer starken Einschränkung der Mobilität.

Ursachen der Arthrose am Kniegelenk

Neben einer anlagebedingten Minderwertigkeit des Gelenkknorpels, ist vor allem eine Abweichung der Beinachse im Sinne eines O-Beins (Genu Varum) oder eines X-Beins (Genu Valgum) eine sehr häufige Ursache der Gonarthrose. Durch die vermehrte Belastung eines Gelenkkompartiments kommt es zu einem beschleunigten Knorpelverschleiß. Daher kann im Frühstadium der Gonarthrose eine operative Korrektur der Beinachse (Umstellungsosteotomie) eine sinnvolle Therapieoption sein. Weitere Ursachen sind ein ausgedehnter Meniskusschaden sowie eine lokalisierte Durchblutungsstörung des Knochens, der insbesondere an der medialen Femurkondyle auftritt (Morbus Ahlbäck).

Die Knieendoprothese

Sind alle anderen Behandlungsmöglichkeiten ausgeschöpft und besteht ein fortgeschrittener Gelenkverschleiß, stellt der endoprothetischen Gelenkersatz am Kniegelenk ein sehr gut etabliertes Verfahren mit exzellenter Patientenzufriedenheit dar. Die Wahl des Implantats richtet sich hierbei nach dem Ausmaß der Gelenkdestruktion und nach dem Zustand des Kapsel-Band-Apparats.
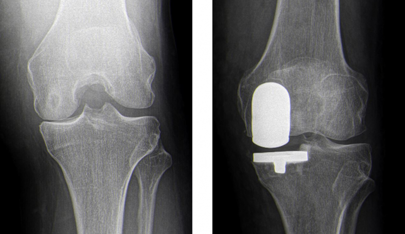
Teilgelenkersatz am Kniegelenk
Betrifft der Verschleiß nur ein isoliertes Kompartiment des Kniegelenkes, kann eine sogenannte „unikondyläre Schlittenprothese“ verwendet werden. Diese hat den Vorteil einer minimalen Knochenresektion sowie den Erhalt einer natürlichen Kniekinematik. Die natürlichen Bänder des Kniegelenks (z.B. vorderes und hinteres Kreuzband) können vollständig erhalten bleiben. Hieraus resultiert eine schnelle Genesung sowie ein natürliches Kniegefühl.

Bikondylärerer Oberflächenersatz am Kniegelenk

Sind beide Gelenksanteile von der Arthrose betroffen und sind alle konservativen Maßnahmen ausgeschöpft, wird eine vollständige Oberflächenersatz-Endoprothese ausgewählt. In aller Regel kommen hierbei Oberflächenersatzprothesen zur Anwendung, die durch die seitlichen Bandstrukturen stabilisiert werden und daher die körpereigenen Bandstrukturen erhalten. Nur bei schweren Schädigungen von Bandstrukturen muss eine Prothese mit zusätzlichen Kopplungselement verwendet werden, die eine langstreckige knöcherne Verankerung benötigt.

Die richtige Knieendoprothese- individuell für jeden Patienten

Die richtige Knieendoprothese wird individuell für jeden Patientin ausgesucht, wobei hier viele Faktoren berücksichtigt werden (Alter, Geschlecht, Knochenqualität und Funktionsniveau). Im Rahmen der Planung wird die Beinachse vermessen und die Prothese digital geplant. Im Rahmen des operativen Eingriffs verwenden wir auch navigationsgestützte (computerassistierte) Systeme. Wir verwenden eine weichteilbasierte Implantationstechnik, die die individuelle Bandspannung berücksichtigt und so zu einem natürlichen Kniegefühl führt. In unsere Klinik kommen hierbei ausschließlich bewährte Implantatmodelle mit durch klinischen Studien sehr gut belegten Langzeithaltzeiten zum Einsatz.

Bildergalerie

Knie Unikondiläre Schlittenprothese
Knie Tep 1414
Hüft Tep 1414
Prof Niemeier Kniesprechstunde
Einer Von 2 Neuen Op Sälen Für Die Orthopädische Klinik 1414
Uchi Dsc6143 Ultraschall Knie Aspect 16 9 2064 1162
Uchi Dsc6232 Prothesen Aspect 16 9 2064 1162
Uchi Dsc6168 Prothesen Knie Ausschnitt Wählen Aspect 16 9 2064 1162
Uchi Op Dr Stoppe 8207 Aspect 16 9 2064 1162
Knie Unikondiläre Schlittenprothese
Knie Tep 1414
Hüft Tep 1414
Prof Niemeier Kniesprechstunde
Vorschaubild
Einer Von 2 Neuen Op Sälen Für Die Orthopädische Klinik 1414
Uchi Dsc6143 Ultraschall Knie Aspect 16 9 2064 1162
Uchi Dsc6232 Prothesen Aspect 16 9 2064 1162
Uchi Dsc6168 Prothesen Knie Ausschnitt Wählen Aspect 16 9 2064 1162
Uchi Op Dr Stoppe 8207 Aspect 16 9 2064 1162